| 受付時間 | 月 | 火 | 水 | 木 | 金 | 土 | 日 | 祝 |
|---|---|---|---|---|---|---|---|---|
| 9:00~13:00 | ● | ● | ● | ● | ● | ● | / | / |
| 15:00~18:00 | ● | ● | ● | ● | ● | ▲ | / | / |
初めて受診される方(初診の方)へのお知らせ
現在、当院に初めて受診される方(初診の方)のWeb予約は「矯正相談」「インプラント相談」「歯科検診(痛み・不具合等の症状がない)」をご希望の方のみに限らせて頂いております。その他の診療科目に関するご予約はお電話にてご連絡ください。Web予約は診療体制整い次第、順次再開を致しますので、今しばらくお待ちください。ご理解のほど、何卒、宜しくお願い申し上げます。
※「矯正相談」「インプラント相談」「検診希望(痛み・不具合等がない)」をご希望でWEB予約内での日程が合わない場合は診療時間中にお電話でご相談ください。調整がつく場合がございます。
Greeting院長ごあいさつ
地域に貢献する歯科治療を目指しております。
当院は昭和11年に祖父がこの米沢市本町で『大峽歯科医院』として開業しました。 その後、父が継ぎ、しばらくの休診期間を経て、私が三代目として再度開業しました。 現在でも祖父の治療を受けていた患者様に来院頂くこともあり、とても嬉しく感じております。
実は、私の代から今の『米沢ファミリー歯科・矯正歯科』に医院名を改めました。 その理由には、家族単位で歯医者に通って欲しいという『想い』が含んでいます。虫歯や歯周病の根本は細菌感染が原因です。 家族単位で治療をしなければ決して上手くいかず、ご家族全員で歯医者に通うことが一人ひとりのお口の健康守るために必要なのです。
そしてもう一つの理由があります。 それは、『米沢ファミリー歯科・矯正歯科』に関わる全ての方を、家族のように、そして患者様も自分の家族のように考えるという『想い』も含んでおります。 歯科治療は歯科医師一人が頑張っても決して上手くいくものではなく、ここで働いてくれるスタッフ、外注先の技工所様、歯科材料を届けてくれるディーラー様など、医院に関わる全ての方々の協力が不可欠です。
『米沢ファミリー歯科・矯正歯科』に関わる全ての方々の協力を頂きながら、地域に貢献する歯科治療を目指しております。
院長 大峡 潤(おおはざま じゅん)
略歴
| 平成10年 | 日本大学歯学部卒業 |
|---|---|
| 同年 | 大峡歯科医院勤務 |
| 平成11年 | 東京都内の歯科医院に勤務 |
| 平成14年 | 東京歯科大学勤務(矯正) |
| 平成19年 | 開業 |
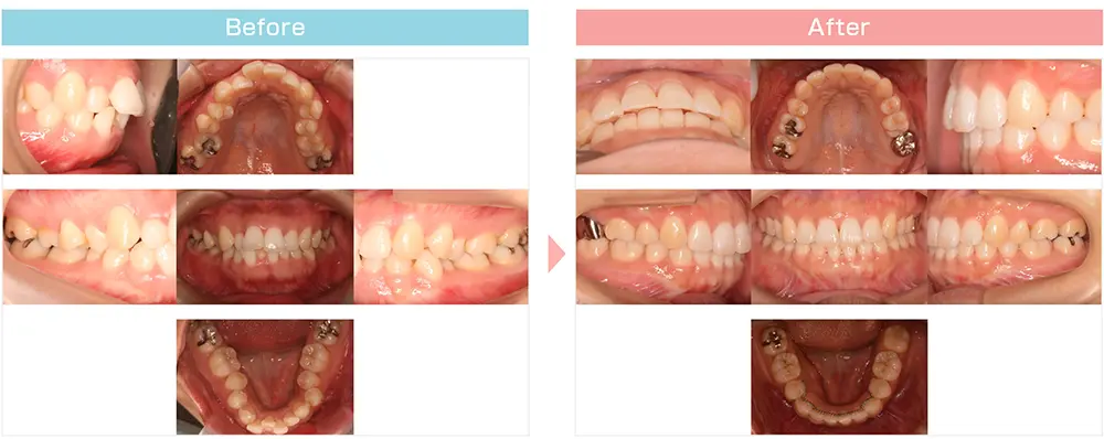
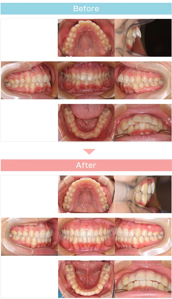
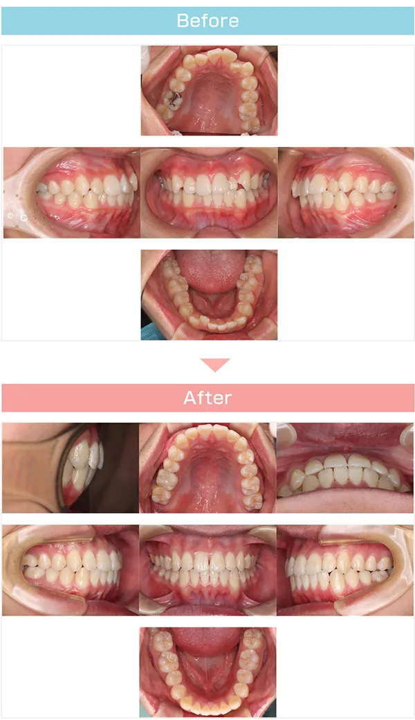
Case症例実績
医院カレンダー
Commitment私達のこだわり
米沢ファミリー歯科ブログ
| 2024/10/24 | 食事で歯の矯正の期間が変わる? 〜歯の矯正中の食事の仕方〜 |
|---|---|
| 2024/10/23 | 歯の矯正中、歯ブラシだけで虫歯は防げる? 〜矯正患者さんの歯磨き方法〜 |
| 2023/04/26 | 【義歯(入れ歯)】保険義歯と保険外義歯の違い |
院長ブログ
| 2024/05/01 | 子供の矯正っていつから始めればいいの? |
|---|---|
| 2024/03/28 | 当院の矯正治療の強み~矯正治療だけでは、歯の治療は成立しない?~ |
| 2021/09/14 | あなたは大丈夫? きれいな歯並びってどんな状態? |


















